十歲的彤彤成長于一個高知家庭,爸爸是某知名大廠的高級工程師,媽媽全職在家照料她的飲食起居和學習。這樣一個美滿幸福的小家庭,卻被一個問題困擾多時,那就是彤彤的口呼吸和小下巴。 今年寒假,這塊心……
十歲的彤彤成長于一個高知家庭,爸爸是某知名大廠的高級工程師,媽媽全職在家照料她的飲食起居和學習。這樣一個美滿幸福的小家庭,卻被一個問題困擾多時,那就是彤彤的口呼吸和小下巴。
今年寒假,這塊心病終于解除了!雖經歷了曲折,但結果令人驚喜。讓我們一起來了解下彤彤父母和“小下巴”過招的故事吧!
口呼吸三年 鵝蛋臉消失
四歲時,媽媽就發現彤彤有口呼吸的習慣,去三甲醫院確診了腺樣體肥大,醫生說處于臨界值不建議手術,每年復診觀察即可。一晃到了小學,媽媽發現七歲的彤彤臉型沒以前好看了,下巴越來越小。“下巴一點都不明顯,好像沒發育一樣。”媽媽從手機里翻出她幼兒園的畢業照,照片上的小姑娘有著一張圓潤可愛的鵝蛋臉。

通過網上查詢,媽媽這才意識到,持續幾年的口呼吸是導致孩子臉型變化的“真兇”!這幾年,她的關注點都在鼻炎和腺樣體肥大方面,并不知道口呼吸會影響口腔和面型發育。為了治療鼻炎,中醫西醫都看了,一到假期就去海邊和空氣質量好的地方住上一段時間。
“鼻炎好了不少,腺樣體也正常了,但她已經養成了口呼吸的習慣,白天也這樣……”當時,彤彤媽媽只有一個想法,趕緊去矯正!
慕名求醫 爸爸對矯正方案存疑
媽媽帶彤彤去了以前補牙的口腔門診,醫生看了說她年齡太小還不能矯正,建議等到八九歲再說。轉眼彤彤九歲了,媽媽決定帶她去朋友推薦的知名正畸專家診所求醫,工作繁忙的爸爸也擠出時間一同前往。
經過檢查,專家告訴他們孩子需要功能矯形治療,通過一個頭戴式的矯治工具導出下頜,建議當天就開始治療。由于專家時間有限,溝通基本是由其助理完成的,并未對治療方案和治療原理進行過多的解釋,這讓他們感到心里不太踏實。

作為985碩士和資深理工男,彤彤爸爸之前已對早矯做了不少的功課,他對治療方案提出了自己的一些疑慮,并未得到回答。為了穩妥起見,他們決定暫不治療,再去問問別的醫生。
求醫新橋 “另類”治療不花錢只動嘴
不久后,彤彤媽媽看到小區鄰居發朋友圈說,自家孩子完成了乳牙反頜矯正,效果特別好,一問是在新橋口腔看的。因為上次的經歷,爸爸對矯正這件事格外謹慎,跟媽媽強調不要貿然開始治療,就醫時一定要他參與把關。
2024年暑假,一家人帶著彤彤到了新橋口腔成都蜀漢院區,掛了正畸??频奶枺釉\醫生是畢業于四川大學華西口腔醫學院的口腔正畸學碩士關禹哲。

新橋口腔成都蜀漢院區關禹哲醫生
這次就診和以往有所不同,除了拍片和檢查,關醫生還仔細查看了他們夫妻的面型,告訴他們診斷結果是:中重度深覆蓋、深覆合,輕度下巴后縮。
隨后,關醫生分析了原因:“牙齒和面型問題受遺傳因素影響很大,孩子應該是遺傳了爸爸。先天因素加上長期的口呼吸,造成了現在這個情況。”從未關注過自己下巴的彤彤爸爸照了下鏡子,有點尷尬。媽媽補充說彤彤奶奶也有這個問題,有嚴重的齙牙,嘴很突。
關醫生告訴他們,彤彤現在的情況還不適合矯治,可以先觀察。隨后,關醫生示范了一個咬上唇的肌功能訓練動作,讓彤彤每天練習,半年后再來復診。

彤彤爸爸后來回憶說,“我們本來比較著急治療,一開始聽醫生說再等等還是很意外的,后面聽了醫生的解釋才明白其中的原因。以前也沒有醫生告訴我們要做這個肌功能訓練,新橋的醫生真的不一樣!”
慶幸的是,“久病成醫”的彤彤媽媽兩個月前已經開始讓孩子做肌功能訓練了,這是她從網上學來的方法。
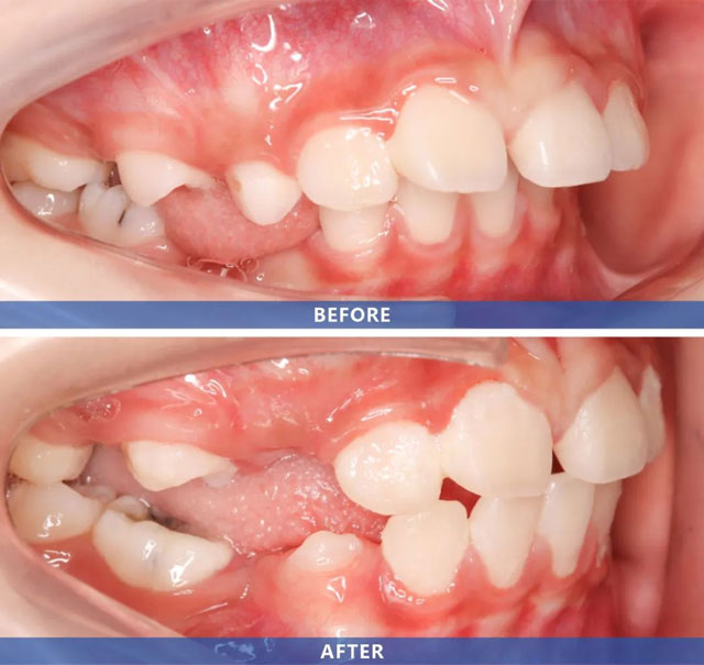
四兩撥千斤 半年后下巴明顯改善
半年后的寒假,彤彤到院復診,下巴的形態得到了明顯改善,深覆蓋、深覆合從中重度變為輕度。關醫生讓她繼續堅持肌功能訓練,仍是半年后再來復診。彤彤媽媽本以為這次肯定要開始治療了,還特意帶上了爸爸余額更多的社保卡,沒想到又讓她意外了一次。

為什么在長達一年的時間里,關醫生只建議彤彤做肌功能訓練,不做功能矯形治療呢?以下是關醫生對彤彤治療方案的詳細解讀。
【方案解讀】
肌功能訓練為何能改善下巴后縮?
關禹哲醫生:肌功能訓練是兒童早矯的輔助治療手段,它的治療原理與功能矯治器類似,通過訓練相關肌肉達到糾正上下頜骨形態、位置的目的。
深覆蓋、深覆合和下巴后縮常常相伴發生,通俗地說就是從側面看上頜大、下頜小,上牙包住下牙過多。我們的訓練動作反其道而行之,是用下牙包住上嘴唇,這個動作可以打開兩側頰肌,舌頭向頰側牙弓及牙齒施加力量,以此達到擴大上下牙牙弓的目的,同時上唇是內收狀態,可對上牙施加力量,從而限制上頜牙齒往外過度生長。

為何只做肌功能訓練,不佩戴功能矯形器?
關禹哲醫生:彤彤換牙偏晚偏慢,門牙牙根還沒發育好,如果做矯形,治療周期會很長,加力不合適會影響到牙根發育;從她的年齡和口頜系統發育階段來看,今后做功能矯形的時間還很充裕。所以,對她來說當下就佩戴功能矯治器不是必須的,且弊大于利。彤彤正處于下頜骨發育高峰期,經過半年的肌功能訓練,深覆蓋、深覆合和下巴后縮都得到了明顯改善,達到了治療目的。當然,彤彤的情況只是個例。

對彤彤后續的治療是如何考慮的?
關禹哲醫生:彤彤這樣的情況屬于II類錯頜畸形,上頜下頜都存在一些問題。上頜不僅有深覆蓋、深覆合,還有上牙前突。她目前正處于生長發育中,牙弓形態還會變化,可能因為遺傳因素的影響變得更加前突,今后可能需要通過拔牙內收牙弓。如果現在就導下頜向前,很可能造成雙頜前突,目前這個方案對她來說是最優的選擇,后期會根據生長發育情況考慮是否需要用功能矯治器進行擴弓等治療。

兒童口腔功能矯形治療需要考慮哪些因素?
關禹哲醫生:下巴后縮屬于II類錯頜畸形,原則上提倡早期干預,但早期干預也需要滿足一定的條件,包括牙根發育是否完成,能否移動,后縮是否嚴重,年齡因素等。如果不能滿足以上條件,可能涉及過早、過度治療,治療后可能出現反彈的情況。
九歲多的兒童,結合年齡和口頜系統生長發育情況來看,治療上有很大的彈性空間,要不要矯正,要不要現在就矯正,需要由醫生根據實際情況,從最有利于患者的角度去考慮。